Kännykkäkameralla loisten kimppuun

Mobiilimikroskoopiksi muunnetusta kännykkäkamerasta voi tulla köyhissä maissa edullinen apuväline loistautien diagnostiikkaan.

Mobiilimikroskoopiksi muunnetusta kännykkäkamerasta voi tulla köyhissä maissa edullinen apuväline loistautien diagnostiikkaan.

Molekyylilääketieteen instituutin (FIMM) ja Karoliinisen instituutin kehittämällä teknologialla kännykkä- tai web-kamera muunnetaan mikroskoopiksi poistamalla siitä linssit. Näyte asetetaan suoraan kuvasensorin päälle. Sensori pystyy erottamaan näytteestä jäljitettävän kohteen, mikäli kohde on kaksi kertaa suurempi kuin sensorin pikseli.

– Tällaisella mobiilimikroskoopilla pystytään tunnistamaan esimerkiksi loisia, sanoo tutkimusjohtaja, dosentti Johan Lundin FIMM:stä.

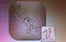
Tutkijat ovat testanneet mobiilimikroskoopin käyttöä skistosomiaasin diagnostiikassa. Sillä pystyttiin löytämään schistosoma-madon munat virtsanäytteestä.

Keväällä kenttätesteihin

Laboratoriomikroskoopit ovat arvokkaita ja niistä on pulaa köyhissä maissa.

– Kännykkä ja web-kamerat kehittyvät erittäin nopeasti. Monessa paikassa eri puolilla maailmaa kehitellään tällä hetkellä erilaisilla tekniikoilla toimivia mobiilimikroskooppeja.

Tutkimuksessa käytetyt kamerat ovat noin kymmenen euron hintaisia, mutta Lundin arvioi, että massavalmistettuna hinta saattaisi olla noin euron.

Lundin on Karoliinisen instituutin osa-aikainen professori ja kehittää mobiilimikroskopiaa myös siellä. Keväällä nyt kehitettyä mobiilimikroskooppia testataan kenttäolosuhteissa Tansaniassa yhdessä Muhimbilin yliopiston kanssa.

– Ensin testaamme miten kuvan ottaminen ja siirto onnistuvat. Sitten vertaamme perinteistä ja mobiilimikroskopiaa malarian diagnosoinnissa.

Maallikonkin käyttöön

Mobiilimikroskooppi pyritään kehittämään sellaiseksi, että sitä voisi maallikkokin käyttää. Alkuvaiheessa se on kuitenkin tarkoitettu lääkärin käyttöön.

– Tarkoitus olisi, että lääkäri voisi joko tehdä diagnoosin suoraan tai lähettää kuvan isompaan sairaalaan.

Lääkäreiden puute on iso ongelma monissa köyhissä maissa. Sitä voidaan helpottaa mobiiliteknologialla.

– Sen lisäksi, että kuva voidaan lähettää asiantuntijalle, se voidaan siirtää keskitettyyn analysointiin, jossa analysointi tapahtuu konenäön avulla automaattisesti. Tällöin kuvan lähettäjä saisi vastauksena diagnoosiehdotuksia.

Lundin arvioi, että terveydenhuollon mobiiliteknologia kasvaa kovaa vauhtia kehitysmaissa.

– Tiedon rekisteröinti ja terveysneuvojen antaminen ovat tyypillisesti asioita, joita tehdään jo laajasti mobiiliteknologialla.

Vielä ei tiedetä koska Lundinin ryhmän mobiilimikroskooppi voisi olla markkinoilla. Parhaillaan haetaan yrityskumppaneita sen tuotteistamiseen.

Hertta Vierula
toimittaja

Kuva: CDC

Julkaistu Lääkärilehden verkkosivuilla.

Lue lisää jutun aiheesta